K8官网

动物模型研究必备:病理切片高清数字化扫描,K8官网给予从全景到细胞级的精准成像解决方案

发布时间:2025-12-09
是否急需心肝脾肺肾切片的高清扫描图?是否在找标准化的数字切片素材?是否需要精准的病理切片扫描支持?

是否急需心肝脾肺肾切片的高清扫描图

是否在找标准化的数字切片素材

是否需要精准的病理切片扫描支持


125c5ec0-4fab-4f66-a8b4-ca26853a828a.png


本文将系统介绍K8官网生物的一项专业病理切片扫描服务,该服务基于光影GScan-20全自动数字玻片扫描仪,旨在为不同应用场景给予从宏观到微观的完整成像解决方案。




















































01    核心技术:全自动高清扫描如何实现?

一项可靠的扫描服务,其核心在于设备的性能与自动化程度。该服务所依托的光影GScan-20扫描仪,具备三大技术特点:


全流程自动化处理



扫描过程无需手动干预。设备支持玻片批量上载,可自动识别定位并完成陆续在扫描。即便面对上百张样本的大规模项目,也能保证高效、一致的输出质量,显著提升数据产出效率。

多尺度高清成像能力

扫描系统覆盖4倍、10倍、20倍及40倍等多个物镜倍数无论是在4倍镜下观察组织全貌,还是切换至40倍油镜分析细胞亚结构,系统均能确保图像清晰、细节无损,为形态学定量分析给予可靠依据。


image.png



无缝全景拼接技术

针对超大尺寸切片,系统可自动进行图像采集与无缝拼接,生成完整的全景数字切片。研究者可在全景图中快速定位,并直接放大至目标区域进行高倍数观察,实现“整体布局-局部特征”的一体化分析。





















































02    服务应用:覆盖多器官、多倍数的扫描支持

该服务专注于给予系统性的扫描方案,尤其适用于心脏、肝脏、脾脏、肺脏及肾脏等主要器官的组织切片。

01

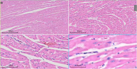
心脏切片扫描


  • 4倍:观察心肌组织整体分布与血管走向。
  • 10倍:分析心肌纤维排列与走向。
  • 20倍:分辨心肌细胞形态与细胞间连接。
  • 40倍:精细观察肌原纤维及线粒体分布等超微结构。

7dae2411-edb0-4576-8af4-4315d617cdaa.png

心 4-40倍


02

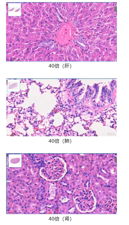
 肝脏切片扫描


  • 4倍:完整展示肝小叶经典六边形结构单元。
  • 10倍:清晰显示门管区与中央静脉周围的肝血窦网络。
  • 20倍:观察肝细胞索的放射状排列及肝细胞形态。
  • 40倍:分析肝细胞核形态、核仁以及胞浆内颗粒物。

58b126c5-89f9-4ab4-97ed-34475c4303ce.png
肝4-40倍


03

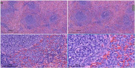
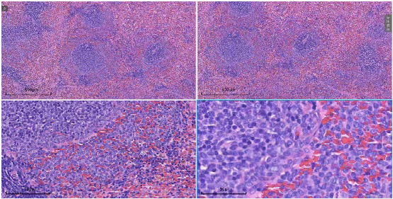
脾脏切片扫描


  • 4倍:清晰区分白髓(淋巴组织聚集区)与红髓(血窦为主)区域。
  • 10倍:观察脾小体(淋巴滤泡)的形态与结构。
  • 20倍:分辨脾索和脾血窦的细胞构成。
  • 40倍:清晰展示窦内皮细胞及腔内淋巴细胞、红细胞等。

2da24145-9a8b-4b1f-bb55-f068ea0c081e.png
脾4-40倍

04

肺脏切片扫描


  • 4倍:概览肺叶结构及支气管树主要分支。
  • 10倍:观察肺泡的整体分布密度与形态。
  • 20倍:分析肺泡隔的厚度及毛细血管分布。
  • 40倍:精细显示肺泡上皮细胞(I型与II型)的形态特征。

b3496010-c662-4400-ba80-642afbb0474c.png
肺4-40倍

05

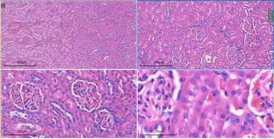
肾脏切片扫描


  • 4倍:清晰划分肾皮质、髓质、肾锥体等大结构区域。
  • 10倍:展示肾小球在皮质中的分布情况。
  • 20倍:观察肾小管(近曲小管、远曲小管)的细胞形态与管腔结构。
  • 40倍:精细解析肾小球毛细血管袢结构及足细胞形态。

57487c69-29c7-442d-821e-2b628d45a358.png
肾4-40倍





















































03    特色方案:肾脏组织的全景与多切面分析

以肾脏研究为例,该服务还可给予全景扫描与多切面对比的特色解决方案,以满足深度研究需求。


  • 横切与纵切面对比:顺利获得同步获取肾脏的横切与纵切全景图,研究者可以从不同维度理解肾脏的“圈层”与“纵向”结构分布,构建更立体的组织学认知。

    d97d6d10-69f6-4afb-b677-e721066ca9dc.png

    肾全景 横切-纵切


  • 多级倍数联动:在任意全景图中,可直接点选感兴趣区域(如皮质区的某个肾小球),并无缝切换至不同放大倍数进行观察,实现高效、精准的靶向分析。

5dd75aec-a90c-443f-8b9b-32f1f86a5179.png
肾-横切

03ba8e6f-1f13-4af1-8252-363d1be57d90.png
肾-纵切



















































04    典型应用场景汇总

  • 科研论文发表:为学术论文给予符合出版要求的高分辨率图像。
  • 医学教学与培训:制作标准化的数字切片库,用于课堂教学与学生自学。
  • 临床病理辅助分析:为疑难病例的会诊给予可远程共享的精准数字素材。
  • 长期样本数字化存档:将珍贵的玻璃切片转化为易于管理和调取的数字资产。

结语

专业的高清扫描服务,旨在将先进的成像技术转化为便捷、可靠的科研与教学工具。K8官网生物顺利获得系统性的扫描方案,希望能为您的组织形态学研究给予有力支持,助力产生更高质量的研究成果与教学材料。


如需分析关于扫描规格、样本准备或数据交付的更多技术细节,欢迎直接在公众号后台发送消息顺利获得以下方式垂询。


合作咨询

CONTACT INFORMATION
CONTACTNFORMATIN
联系电话
0755-86325431
联系邮箱
sales@kyzhao.net
联系地址
深圳市光明区凤凰街道同业路恒泰裕大厦3B栋1502室